京阪本線「樟葉駅」徒歩5分

tel.072-864-6435

ORTHODONTIC CASE

治療例

Treatment Case

本格的治療の治療例

※矯正歯科治療は公的健康保険の適用外の自費診療(自由診療)となります。

※治療期間2~4年、通院回数15~40回(治療内容によって変わります)

矯正歯科治療には必ずリスク・副作用がありますことをご理解ください。

叢生(そうせい)について

上下歯列がガタガタしている状態を示します。

上下顎のバランスに問題がない場合、叢生(ガタガタ)の度合いや前歯の突出度合いによって小臼歯の抜歯が必要か否かを判断します。

特に下顎歯列の叢生度合いや突出度合いが大きいと小臼歯を抜歯して治療する可能性が高まります。

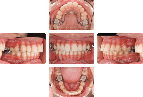
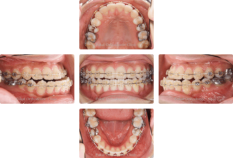
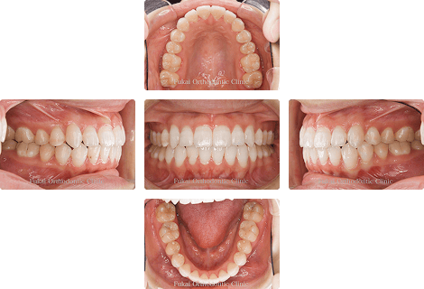
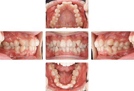
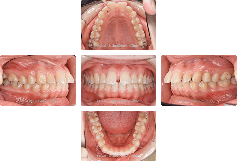
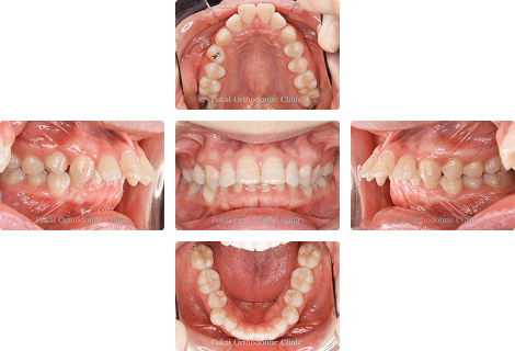
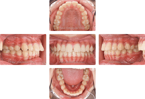
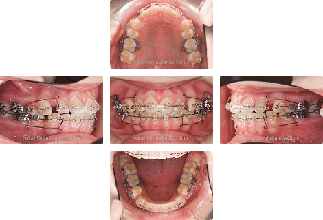
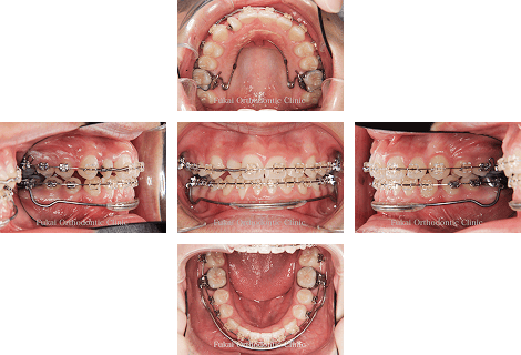
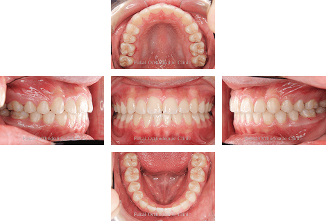
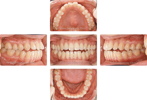
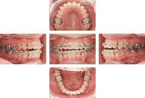
CASE01

治療前

叢生 − 症例1の写真 叢生 − 症例1の写真

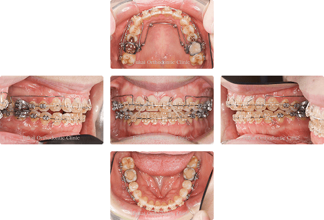
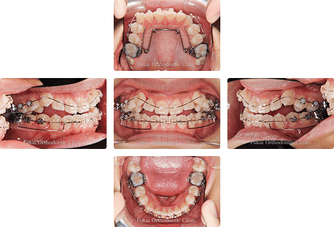
治療途中

叢生 − 症例1の写真 叢生 − 症例1の写真

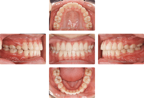
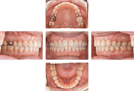
治療後

叢生 − 症例1の写真 叢生 − 症例1の写真
①主訴 前歯のガタガタ、かみ合わせの悪さ
②診断名 上下前歯部の叢生
③年齢 22歳1か月
④治療に用いた主な装置 上顎歯列の固定式拡大装置(Quad-Helix)、下顎歯列の拡大装置(Bi-Helix)、上下歯列のマルチブラケット装置
⑤抜歯部位 上下顎の左右第一小臼歯
⑥治療内容

骨格的には上下顎の前後的バランスに問題はないが、正貌から下顎の左方偏位が認められた。

上下前歯の前突と著しい叢生により、上下歯列を拡大した上で小臼歯を抜去しマルチブラケット装置を用いて前歯の整列と抜歯スペースの閉鎖を行い、咬合を仕上げた。

⑦治療期間と通院回数 3年10か月、42回
⑧治療費概算 95万7千円
費用について
⑨リスクと副作用 上下小臼歯4本の抜歯、装置による痛み・違和感・口内炎、前歯の歯根吸収と歯髄壊死を起こす可能性、治療期間が長引く可能性、下顎の左方偏位により歯列正中のわずかなずれが残る可能性、歯列の安定を図るためには上下第三大臼歯の抜歯とリテーナーの装着は不可欠。

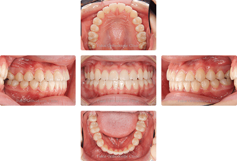
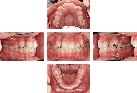
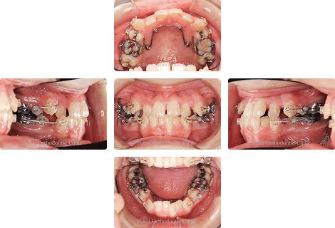
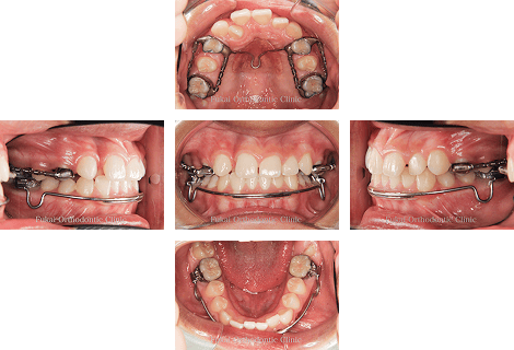
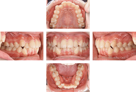
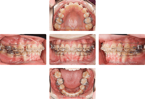
CASE02

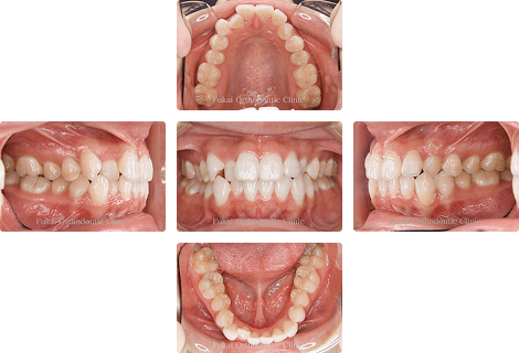
治療前

叢生 − 症例2の写真 叢生 − 症例2の写真

治療途中

叢生 − 症例2の写真 叢生 − 症例2の写真

治療後

叢生 − 症例2の写真 叢生 − 症例2の写真
①主訴 上の前歯のガタガタ
②診断名 上顎前歯の叢生を伴う不正咬合
③年齢 10歳3か月
④治療に用いた主な装置 上顎歯列の固定式拡大装置(Hyrax)、上顎大臼歯遠心移動装置(GMD)、上顎大臼歯固定装置(Nance Holding Arch)、下顎歯列の拡大装置(Lip Bumper)、上下歯列のマルチブラケット装置
⑤抜歯部位 上下顎第三大臼歯(親知らず)
⑥治療内容

上顎前歯の叢生は大きいが下顎歯列の叢生は小さく、年齢が10歳と若いためこれからの成長も期待して非抜歯で治療。

上顎歯列は固定式の拡大装置にて拡大後、前歯のスペースを改善するため上顎大臼歯の遠心移動装置にて上顎大臼歯を後方に移動、その間に下顎はリップバンパーにて歯列を拡大し、上下前歯のスペースが確保できた段階でマルチブラケット装置を装着し前歯の整列と咬合を仕上げた。

⑦治療期間と通院回数 4年2か月、46回
⑧治療費概算 106万7千円
費用について
⑨リスクと副作用 装置による痛み・違和感・発音障害・口内炎・カリエス、上顎前歯のスペース改善が困難な場合は抜歯が必要となる可能性、治療期間が長引く可能性、歯列の安定を図るためには上下第三大臼歯の抜歯とリテーナーの装着は不可欠。

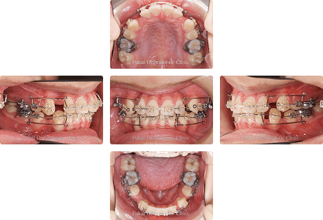
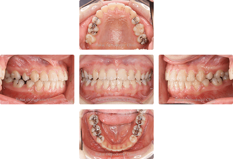
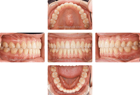
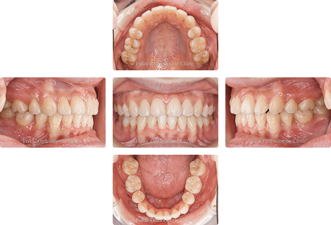
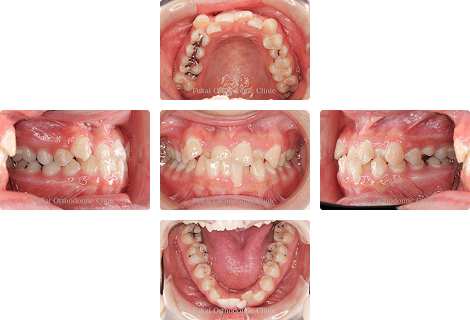
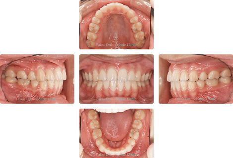
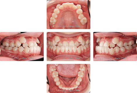
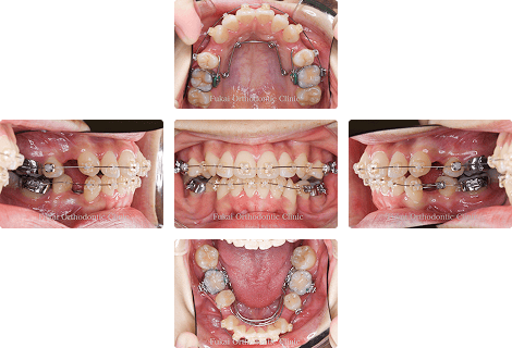
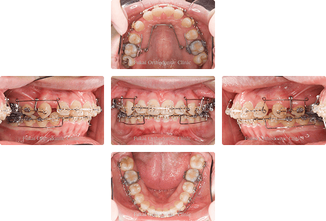
CASE03

治療前

叢生 − 症例3の写真 叢生 − 症例3の写真

治療途中

叢生 − 症例3の写真

治療後

叢生 − 症例3の写真 叢生 − 症例3の写真
①主訴 前歯のガタガタ、ずれ
②診断名 上下前歯部の叢生
③年齢 22歳9か月
④治療に用いた主な装置 上下歯列のマルチブラケット装置
⑤抜歯部位 上下顎の左右第一小臼歯
⑥治療内容

骨格的には上下顎とも前方位を示すがバランスに問題はなく、上下前歯の前方傾斜が認められた。

口元の突出感も問題ないが、上下前歯の前突と叢生により、上下小臼歯を抜去しマルチブラケット装置を用いて前歯の整列と抜歯スペースの閉鎖を行い、咬合を仕上げた。

⑦治療期間と通院回数 2年5か月、27回
⑧治療費概算 90万2千円
費用について
⑨リスクと副作用 上下小臼歯4本の抜歯、装置による痛み・違和感・口内炎、前歯の歯根吸収と歯髄壊死を起こす可能性、治療期間が長引く可能性、歯列の安定を図るためには上下第三大臼歯の抜歯とリテーナーの装着は不可欠。

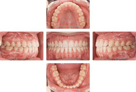
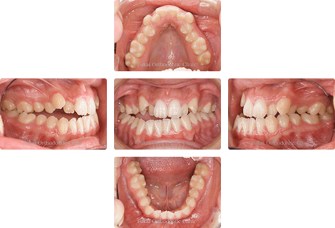
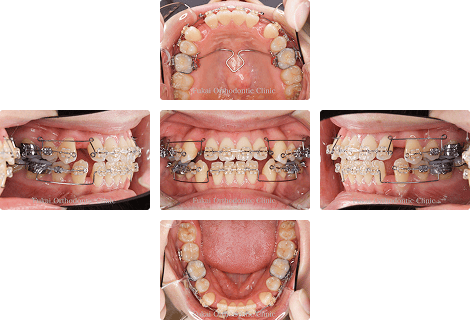
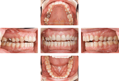
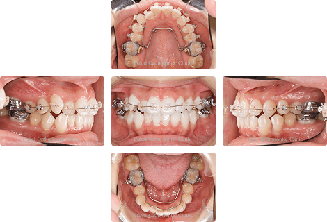
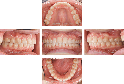
CASE04

治療前

叢生 − 症例3の写真 叢生 − 症例3の写真

治療途中

叢生 − 症例3の写真

治療後

叢生 − 症例3の写真 叢生 − 症例3の写真
①主訴 前歯のガタガタ
②診断名 上下前歯部の叢生
③年齢 24歳1か月
④治療に用いた主な装置 上顎歯列の固定式拡大装置(Quad-Helix)、下顎歯列の拡大装置(Bi-Helix)、上下歯列のマルチブラケット装置
⑤治療内容 上下顎の第三大臼歯
⑥治療内容

骨格的には上下顎のバランスに問題はなく、上下前歯の軽度な前方傾斜が認められた。

口元の突出感はあるが、本人の希望により小臼歯は抜かずに上下歯列を側方拡大しマルチブラケット装置を用いて前歯の整列と咬合を仕上げた。治療前に上下の第三大臼歯は抜歯した。

⑦治療期間と通院回数 1年9か月、22回
⑧治療費概算 90万2千円
費用について
⑨リスクと副作用 治療前に上下第三大臼歯の抜歯、装置による痛み・違和感・口内炎、前歯の歯根吸収と歯髄壊死を起こす可能性、治療期間が長引く可能性、歯列の安定を図るため治療後のリテーナー装着は不可欠。

上顎前突(じょうがくぜんとつ)について

上顎が前方に出ているか下顎が後方に下がっている状態を示します。

上下顎のアンバランス度合いや前歯の突出度合い、叢生度合いによって、上下小臼歯を抜歯するか上顎小臼歯のみの抜歯かを判断します。

叢生は軽度でも前歯の突出(口元の突出度)が大きい場合、小臼歯を抜歯して治療する可能性が高まります。

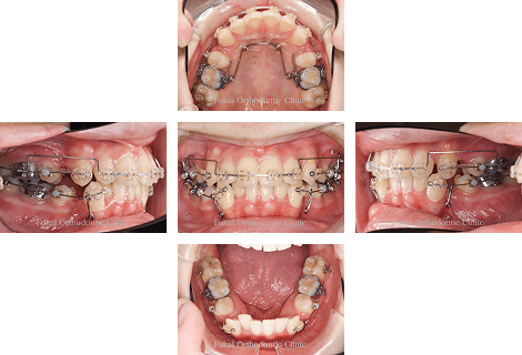
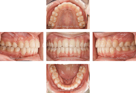
CASE01

治療前

上顎前突 − 症例1の写真 上顎前突 − 症例1の写真

治療途中

上顎前突 − 症例1の写真

治療後

上顎前突 − 症例1の写真 上顎前突 − 症例1の写真
①主訴 出っ歯
②診断名 前歯の著しい突出を伴う骨格性上顎前突
③年齢 26歳10か月
④治療に用いた主な装置 上顎歯列の固定式拡大装置(Quad-Helix)、下顎歯列の拡大装置(Bi-Helix)、上下歯列のマルチブラケット装置
⑤抜歯部位 上顎の左右第一小臼歯
⑥治療内容

骨格的には上顎の前方位を示す骨格性の上顎前突、上顎前歯の過度な前方傾斜と過蓋咬合が認められた。

口元の突出感もあり、上下顎のアンバランスも大きく上顎前歯を後退させるため上顎の左右第一小臼歯を抜歯して治療。

上下歯列を側方拡大した上でマルチブラケット装置を用いて前歯を後退し咬合を仕上げた。

⑦治療期間と通院回数 3年6か月、42回
⑧治療費概算 95万7千円
費用について
⑨リスクと副作用 上顎小臼歯の抜歯、歯肉退縮と前歯の歯根吸収・歯髄壊死を起こす可能性、装置による痛み・違和感・口内炎、難易度の高い症例のため治療期間が長引く可能性、歯列の安定を図るため治療後のリテーナー装着は不可欠。

CASE02

治療前

上顎前突 − 症例2の写真 上顎前突 − 症例2の写真

治療途中

上顎前突 − 症例2の写真

治療後

上顎前突 − 症例2の写真 上顎前突 − 症例2の写真
①主訴 前歯の突出、すき間
②診断名 前歯の突出を伴う骨格性下顎前突
③年齢 19歳1か月
④治療に用いた主な装置 上顎歯列の固定式拡大装置(Quad-Helix)、下顎歯列の拡大装置(Bi-Helix)、上下歯列のマルチブラケット装置
⑤抜歯部位 上下顎の左右第一小臼歯
⑥治療内容

骨格的には上顎の前方位・下顎の後退位を示す骨格性の上顎前突と上下とも前歯の過度な前方傾斜を示し、歯列的には上顎前歯の突出とすき間が認められた。

口元の突出感もあり、上下の前歯を後退させるため上下顎ともに左右第一小臼歯を抜歯して治療。

上顎歯列を拡大した上でマルチブラケット装置を用いて前歯を後退し咬合を仕上げた。

⑦治療期間と通院回数 2年10か月、33回
⑧治療費概算 95万7千円
費用について
⑨リスクと副作用 上下第一小臼歯4本の抜歯、装置による痛み・違和感・口内炎・カリエス、歯肉退縮と前歯の歯根吸収・歯髄壊死を起こす可能性、下顎の左方偏位により上下歯列正中のずれが残る可能性、歯列の安定を図るため治療後のリテーナー装着と上下顎第三大臼歯の抜去は不可欠。

下顎前突(かがくぜんとつ)について

下顎が前方に出ているか上顎が後方に下がっている状態を示します。

歯列的には受け口を呈している場合が多く、受け口を改善するため上顎前歯を前方に出して治療するか、叢生度合いによっては小臼歯を抜歯して治療するかを判断します。

反対咬合だから必ず手術が必要というわけではなく、骨格的なアンバランスが大きい場合に手術が必要となります
(外科的矯正治療を参照)

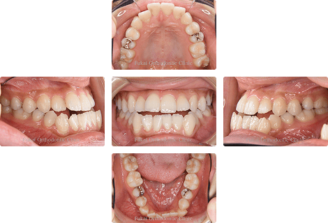
CASE01

治療前

下顎前突 − 症例1の写真 下顎前突 − 症例1の写真

治療途中

下顎前突 − 症例1の写真

治療後

下顎前突 − 症例1の写真 下顎前突 − 症例1の写真
①主訴 前歯のガタガタ、受け口
②診断名 前歯の反対咬合を伴う骨格性下顎前突
③年齢 12歳7か月
④治療に用いた主な装置 上顎歯列の固定式拡大装置(Quad-Helix)、下顎歯列の拡大装置(Bi-Helix)、上下歯列のマルチブラケット装置
⑤抜歯部位 なし
⑥治療内容

骨格的には上顎の劣成長を示す骨格性の下顎前突で、上顎前歯の叢生と明らかな反対咬合が認められた。

上顎前歯の舌側傾斜と上顎歯列の狭窄もあるため、小臼歯は抜かずに上下歯列を側方拡大しマルチブラケット装置を用いて前歯の整列と咬合を仕上げた。また前歯の反対咬合を改善するため顎間ゴムの装着を指示した。

⑦治療期間と通院回数 2年5か月、29回
⑧治療費概算 90万2千円
費用について
⑨リスクと副作用

治療を通じて顎間ゴムをかける必要性、装置による痛み・違和感・口内炎、前歯の歯根吸収と歯髄壊死を起こす可能性、治療期間が長引く可能性、前歯の叢生・反対咬合の改善が困難な場合は小臼歯を抜歯する可能性、歯列の安定を図るため治療後のリテーナー装着は不可欠、また上下第三大臼歯は抜歯の必要性があり。

CASE02

治療前

下顎前突 − 症例2の写真 下顎前突 − 症例2の写真

治療途中

下顎前突 − 症例2の写真

治療後

下顎前突 − 症例2の写真 下顎前突 − 症例2の写真
①主訴 前歯のガタガタ、受け口
②診断名 前歯の叢生と反対咬合を伴う骨格性下顎前突
③年齢 14歳9か月
④治療に用いた主な装置 上顎歯列の固定式拡大装置(Quad-Helix)、下顎歯列の拡大装置(Bi-Helix)、上下歯列のマルチブラケット装置
⑤抜歯部位 上下顎の左右第一小臼歯
⑥治療内容

骨格的には下顎の前方位を示す骨格性の下顎前突で、上下前歯の前方傾斜を示し、上下前歯の叢生と反対咬合が認められた。

上下前歯の前方傾斜と反対咬合を改善するため、上下小臼歯を抜歯しマルチブラケット装置を用いて前歯の整列と咬合を仕上げた。

⑦治療期間と通院回数 3年5か月、33回
⑦治療費概算 90万2千円
費用について
⑧リスクと副作用

上下小臼歯4本の抜歯、装置による痛み・違和感・口内炎・カリエス、前歯の歯根吸収と歯髄壊死を起こす可能性、治療期間が長引く可能性、上下前歯の叢生が大きいため正中のずれが残る可能性、歯列の安定を図るため治療後のリテーナー装着は不可欠、また上下第三大臼歯は抜歯の必要性があり。

開咬(かいこう)について

前歯がかみ合わない状態を示します。

舌の癖(舌癖 ぜつへき)に起因している場合が多く、治療を通じて舌癖の改善が必要で、舌癖が治らないと再び開咬が再発する可能性もあります。

骨格のバランス、前歯の突出・叢生度合いによって小臼歯を抜歯して治療するかを判断します。

開咬だから必ず手術が必要というわけではなく、骨格的なアンバランスが大きい場合に手術が必要となります
(外科的矯正治療を参照)

CASE01

治療前

開咬 − 症例1の写真 開咬 − 症例1の写真

治療途中

開咬 − 症例1の写真

治療後

開咬 − 症例1の写真 開咬 − 症例1の写真
①主訴 前歯がかめない
②診断名 前歯の開咬を伴う骨格性上顎前突
③年齢 38歳3か月
④治療に用いた主な装置 上顎歯列の固定式拡大装置(Quad-Helix)、上下歯列のマルチブラケット装置
⑤抜歯部位 上下の左右第三大臼歯
⑥治療内容

骨格的には下顎の後退位を示す骨格性の上顎前突で、上顎前歯の舌側傾斜と前歯の開咬が認められた。

叢生は軽度なことと上顎歯列の狭窄もあるため、小臼歯は抜かずに上顎歯列を側方拡大しマルチブラケット装置を用いて仕上げた。

また前歯の開咬を改善するため顎間ゴムの装着を指示した。

⑦治療期間と通院回数 1年9か月、22回
⑧治療費概算 90万2千円
費用について
⑨リスクと副作用

始めに上下第三大臼歯を抜去。

治療を通じて顎間ゴムをかける必要性、装置による痛み・違和感・口内炎、前歯の歯根吸収と歯髄壊死を起こす可能性、治療期間が長引く可能性、開咬の改善が困難な場合は手術が必要となる可能性、歯列の安定を図るため治療後のリテーナー装着は不可欠、また舌癖を治すトレーニングとその意識は必須。

CASE02

治療前

開咬 − 症例1の写真 開咬 − 症例1の写真

治療途中

開咬 − 症例1の写真

治療後

開咬 − 症例1の写真 開咬 − 症例1の写真
①主訴 前歯が出ている、前歯がかみ合わない
②診断名 前歯の突出と開咬を伴う骨格性上顎前突
③年齢 33歳8か月
④治療に用いた主な装置 上顎大臼歯の固定装置(Palatal arch)、上下歯列のマルチブラケット装置
⑤抜歯部位 上下の左右第一小臼歯
⑥治療内容

骨格的には上顎の前方位を示す骨格性の上顎前突で、上下前歯の前方傾斜と前歯の開咬が認められた。

叢生は軽度だが前歯の突出があるため、上下小臼歯を抜歯しマルチブラケット装置を用いて仕上げた。また前歯の開咬を改善するため舌癖改善のトレーニング(MFT)を指示した。

⑦治療期間と通院回数 2年3か月、32回
⑧治療費概算 90万2千円
費用について
⑨リスクと副作用

上下第一小臼歯4本の抜歯。治療を通じて舌癖のトレーニングの必要性、装置による痛み・違和感・口内炎、前歯の歯根吸収と歯髄壊死を起こす可能性、治療期間が長引く可能性、歯列の安定を図るため治療後のリテーナー装着は不可欠、また舌癖を治すトレーニングと日常の意識は必須。

上下顎前突(じょうげがくぜんとつ)について

上下顎がともに前方に出ているか、上下前歯が前方に突出している状態を示します。

口元も突出している場合が多く、叢生は軽度でも前歯の突出と口元の改善のため上下小臼歯を抜歯して治療するケースが多いです。

CASE01

治療前

上下顎前突 − 症例1の写真 上下顎前突 − 症例1の写真

治療途中

上下顎前突 − 症例1の写真 上下顎前突 − 症例1の写真

治療後

上下顎前突 − 症例1の写真 上下顎前突 − 症例1の写真
①主訴 前歯のすき間、出っ歯
②診断名 前歯の突出を伴う骨格性上下顎前突
③年齢 11歳5か月
④治療に用いた主な装置 上顎歯列の固定式拡大装置(Quad-Helix)、下顎歯列の拡大装置(Bi-Helix)、上下歯列のマルチブラケット装置
⑤抜歯部位 上下顎の左右第一小臼歯
⑥治療内容

骨格的には上下顎ともに前方位を示す骨格性の上下顎前突と上下前歯の前方傾斜を示し、歯列的には上顎前歯の突出とすき間、左下第二大臼歯の鋏状咬合が認められた。

口元の突出感もあり、上下の前歯を後退させるため上下顎ともに左右第一小臼歯を抜歯して治療。

上下奥歯の位置・鋏状咬合を修正した上でマルチブラケット装置を用いて前歯を後退し咬合を仕上げた。

⑦治療期間と通院回数 3年6か月、35回
⑧治療費概算 95万7千円
費用について
⑨リスクと副作用 上下小臼歯4本の抜歯、装置による痛み・違和感・口内炎・カリエス、歯肉退縮と前歯の歯根吸収・歯髄壊死を起こす可能性、歯列の安定を図るため治療後のリテーナー装着と上下顎第三大臼歯の抜去は不可欠。

CASE02

治療前

上下顎前突 − 症例2の写真 上下顎前突 − 症例2の写真

治療途中

上下顎前突 − 症例2の写真

治療後

上下顎前突 − 症例2の写真 上下顎前突 − 症例2の写真
①主訴 前歯のガタガタ、出っ歯
②診断名 前歯の突出と叢生を伴う歯槽性上下顎前突
③年齢 16歳7か月
④治療に用いた主な装置 上顎歯列の固定式拡大装置(Quad-Helix)、下顎歯列の拡大装置(Bi-Helix)、上下歯列のマルチブラケット装置
⑤抜歯部位 上下顎の左右第一小臼歯
⑥治療内容

骨格的には上下顎のバランスに問題はないが上下前歯の前方傾斜を示す歯槽性の上下顎前突。歯列的には上下前歯の叢生と突出が認められた。

口元の突出感もあり、上下の前歯を後退させるため上下顎ともに左右第一小臼歯を抜歯して治療。

上下歯列を側方拡大した上でマルチブラケット装置を用いて前歯を後退し咬合を仕上げた。

⑦治療期間と通院回数 2年3か月、28回
⑧治療費概算 95万7千円
費用について
⑨リスクと副作用 リスクと副作用:上下小臼歯4本の抜歯、装置による痛み・違和感・口内炎・カリエス、歯肉退縮と前歯の歯根吸収・歯髄壊死を起こす可能性、歯列の安定を図るため治療後のリテーナー装着は不可欠。

外科的矯正治療(げかてききょうせいちりょう)について

上下顎の前後的なアンバランス、下顎の左右への偏位が大きく、矯正治療だけでは咬合の改善が困難な場合、外科手術を併用して矯正治療を行います。

マルチブラケット装置で上下歯列を整列した後に外科手術にて咬合を仕上げます。

この場合、顎変形症として矯正治療と外科手術の全てが保険診療の対象となり、治療費は保険診療の算定に基づき3割分を負担いただきます。また入院・手術は特定の病院に依頼します。

CASE01

治療前

外科的矯正治療 − 症例1の写真 外科的矯正治療 − 症例1の写真

治療途中

外科的矯正治療 − 症例1の写真

治療後

外科的矯正治療 − 症例1の写真 外科的矯正治療 − 症例1の写真
①主訴 受け口
②診断名 前歯の反対咬合を伴う骨格性下顎前突症
③年齢 19歳8か月
④治療に用いた主な装置 下顎歯列の拡大装置(Bi-Helix)、上下歯列のマルチブラケット装置
⑤抜歯部位 上下顎の第三大臼歯
⑥治療内容

骨格的には下顎の前方位を示す骨格性の下顎前突で、上顎前歯の唇側傾斜・下顎前歯の舌側傾斜による明らかな反対咬合が認められた。

骨格的な問題が大きいためマルチブラケット装置を用いて上下歯列を整えた後、上下顎を移動させる外科的矯正治療で咬合を改善した。手術後の顎間ゴムの装着を指示した。

⑦治療期間と通院回数 2年10か月、40回
⑧治療費概算 約30万(健康保険適応)
費用について
⑨リスクと副作用 上下顎の第三大臼歯の抜去、手術後は顎間ゴムをほぼ24時間必ずかけること、装置による痛み・違和感・口内炎・カリエス、前歯の歯根吸収と歯髄壊死、また歯肉退縮を起こす可能性、手術の時期によっては治療期間が長引く可能性、歯列の安定を図るため治療後のリテーナー装着は不可欠。

CASE02

治療前

外科的矯正治療 − 症例2の写真 外科的矯正治療 − 症例2の写真

治療途中

外科的矯正治療 − 症例2の写真

治療後

外科的矯正治療 − 症例2の写真 外科的矯正治療 − 症例2の写真
①主訴 前歯のガタガタ、かみ合わせの悪さ
②診断名 前歯の叢生と開咬を伴う骨格性下顎前突症
③年齢 15歳11か月
④治療に用いた主な装置 上顎歯列の固定式拡大装置(Quad-Helix)、下顎歯列の拡大装置(Bi-Helix)、上下歯列のマルチブラケット装置
⑤抜歯部位 上下顎の第三大臼歯
⑥治療内容

骨格的には上顎の後退位を示す明らかな骨格性の下顎前突で、上顎前歯の唇側傾斜、下顎の右方偏位が認められ、歯列的には上顎歯列の狭窄に伴う著しい叢生と交叉咬合、前歯の開咬が見られた。

骨格的な問題が大きいためマルチブラケット装置を用いて上下歯列を整えた後、上下顎を移動させる外科的矯正治療で咬合を改善した。手術後の顎間ゴムの装着を指示した。

⑦治療期間と通院回数 3年10か月、49回
⑧治療費概算 約33万(健康保険適応)
費用について
⑨リスクと副作用 上下顎の第三大臼歯の抜去、手術後は顎間ゴムをほぼ24時間必ずかけること、装置による痛み・違和感・口内炎・カリエス、前歯の歯根吸収と歯髄壊死、また歯肉退縮を起こす可能性、手術の時期によっては治療期間が長引く可能性、歯列の安定を図るため治療後のリテーナー装着は不可欠。
ABOUT OUR CLINIC

当院のご案内

深井矯正歯科クリニック

〒573-1106 大阪府枚方市町楠葉1-4-8 シャルム橋内ビル3F

アクセス

京阪本線「樟葉駅」徒歩5分

診療時間 日祝
13:10-19:30
10:00-17:00

月曜日:月2回のみ、13:30-19:30 診療

※臨時休診がございます。詳しくは診療カレンダーをご覧ください。