京阪本線「樟葉駅」徒歩5分

tel.072-864-6435

CHILDREN'S ORTHO

子供の矯正治療

もっと若い時から歯ならびがきれいだったら…

これはお母様方からよく聞く言葉です。

ご自身が歯ならびにコンプレックスを持っている。歯ならびで悩んでいる。

だから子供にはそんな思いをさせたくない。

これはお母様方の切なる願いではないでしょうか。

矯正治療の開始時期

矯正治療に有効な開始年齢は、7〜8歳ごろからと考えています。
(※7〜8歳頃:6歳臼歯が生え、前歯が生え変わる時期)

その理由は

  • あごの成長をコントロールしやすい
  • 骨も柔らかいので、歯ならびも広がりやすく

結果、なるべく歯を残して治療できる可能性が高まると考えています。

初期治療に用いる装置

虫歯になるリスクを少なくするため、当クリニックでは基本的に、取りはずしの出来るプレート装置やトレーナー装置を用います。

初期治療に用いる装置の写真
Three Benefits

子供の矯正治療
「3つの利点」

むし歯予防につながる

歯並びを整えることにより歯磨きしやすくなり、また治療を通じて歯に関心を持ち歯磨きの習慣がつきやすくなります。

健康増進につながる

かみ合わせを整えることにより消化が良くなったり、姿勢が良くなったり、舌の癖や口呼吸を治すことにより健康の促進につながります。

セルフイメージが高まる

歯並びや口もとが良くなることで笑顔に自信が持てたり、明るくなって自分の自信につながります。

特に3つ目の自分への自信が高まることは重要だと思います。

大人の方でも歯並びが良くなることで明るく笑えるようになったり、人と話すことに自信が持てるようになることはよくあることです。

だとしたらもっと若い時、小さい頃に明るく笑えたら、きっと人生が変わっていたかも知れません。

そう、矯正治療は人生を変える治療だと思います。

Teeth Alignment

矯正が必要な歯並び

乱ぐい歯、八重歯(やえば)

正式名は叢生(そうせい)

あごが小さかったり、歯が大きくて全部の歯が並びきれずに歯列から飛び出したり、デコボコしている歯並びのこと。

初乱ぐい歯、八重歯(やえば)(正式名は叢生(そうせい))のイラスト

出っ歯

正式名は上顎前突(じょうがくぜんとつ)

上の歯または上のあごが前に飛びだしている状態。あごの骨に原因がある場合と、歯だけが前に出ている場合があります。

出っ歯(正式名は上顎前突(じょうがくぜんとつ))のイラスト

受け口

正式名は反対咬合(はんたいこうごう)、下顎前突(かがくぜんとつ)

咬み合わせたとき下の歯または下のあごが前に飛び出している状態です。
くせによる場合と骨に原因がある場合があります。

受け口(正式名は反対咬合(はんたいこうごう)、下顎前突(かがくぜんとつ))のイラスト

開咬(かいこう)

別名、オープンバイト

奥歯をしっかり噛んだときに前歯が咬み合わず、上下の前歯の間が開いている状態。口の中が乾きやすく、むし歯や歯周病、顎関節症になりやすいと言われています。

開咬(かいこう)(別名、オープンバイト)のイラスト

過蓋咬合(かがいこうごう)

上の前歯が下の前歯に深くかぶさっている咬み合わせ。ときには、下の前歯が上の前歯に隠れて見えないことも(正常なのは、上の前歯が下の前歯を1/3〜1/4ほど覆っている状態)。

過蓋咬合(かがいこうごう)のイラスト

交叉咬合(こうさこうごう)

上下の奥歯が横にズレて、反対に組み合わさっている咬み合わせのこと。上下の歯の真ん中のラインがズレている場合が多い。

交叉咬合(こうさこうごう)のイラスト

すきっ歯

正式名は空隙歯列(くうげきしれつ)、正中離開(せいちゅうりかい)

歯と歯の間が開いている状態。歯そのものの大きさが小さかったり、歯に対してあごが大きいことなどが原因で起こります。

すきっ歯(正式名は空隙歯列(くうげきしれつ)、正中離開(せいちゅうりかい))のイラスト
Treatment Case

初期治療の治療例

※矯正歯科治療は公的健康保険の適用外の自費診療(自由診療)となります。

※治療期間2~4年、通院回数15~40回(治療内容によって変わります)

矯正歯科治療には必ずリスク・副作用がありますことをご理解ください。

前歯のガタガタ-叢生(そうせい)について

上下歯列がガタガタしている、もしくは永久歯の生えるスペースが足らない状態を示します。

取り外しのできる装置で歯並びを広げたり、奥歯を動かして歯の生えるスペース不足の改善をはかります。

個々の歯のずれや歯並びは次の本格的治療でマルチブラケット装置を用いて改善します。

永久歯列に交換した時期(小学6年生頃)に再度検査を行い、治療計画をお伝えした上で、治療の継続を検討いただきます。

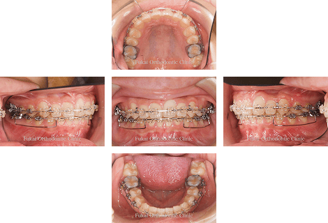
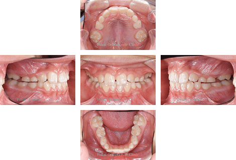
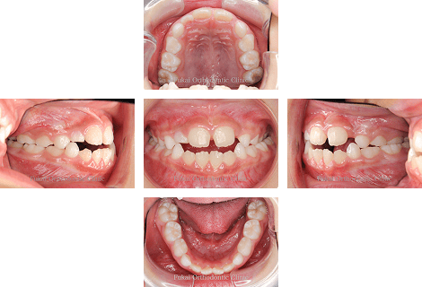
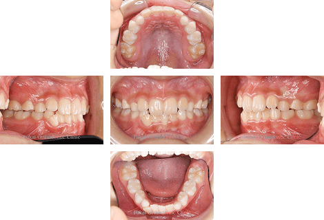
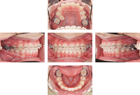
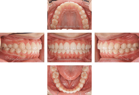
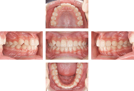
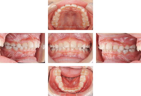
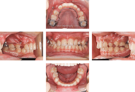
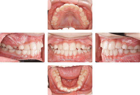
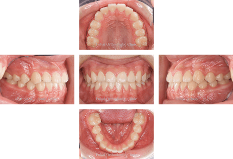
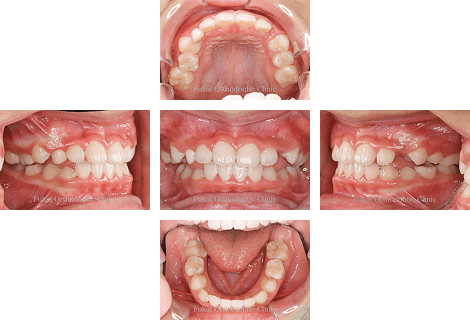
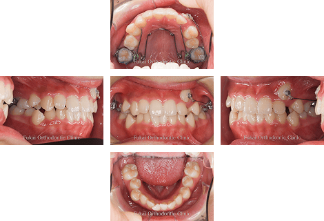
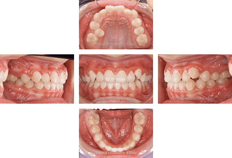
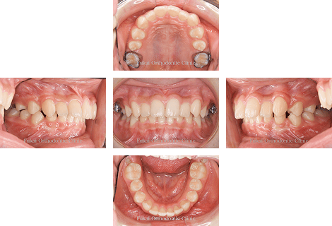
CASE01

治療前

ガタガタ(叢生)− 症例1の写真 ガタガタ(叢生)− 症例1の写真

治療途中

ガタガタ(叢生)− 症例1の写真

治療後

ガタガタ(叢生)− 症例1の写真 ガタガタ(叢生)− 症例1の写真
①主訴 上下前歯のガタガタ
②診断名 上下前歯の叢生
③年齢 9歳0か月
④治療に用いた主な装置 プレート装置(拡大プレート)、トレーナー装置(T4K)
⑤治療内容

骨格的な上下顎のバランスに問題はなく、上下前歯のスペース不足による叢生が認められる。

上顎に拡大プレートを装着し歯列拡大した後、トレーナー装置にて乳歯の交換を観察した。

乳歯が交換した段階で前歯のスペース不足は改善した。

⑥治療期間と通院回数 4年、28回
⑦治療費概算 39万6千円
費用について
⑧リスクと副作用 装置による発音障害・違和感・痛み・口内炎、途中奥歯で咬みにくい時期あり、歯列の整列には本格的治療が必要。

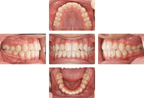
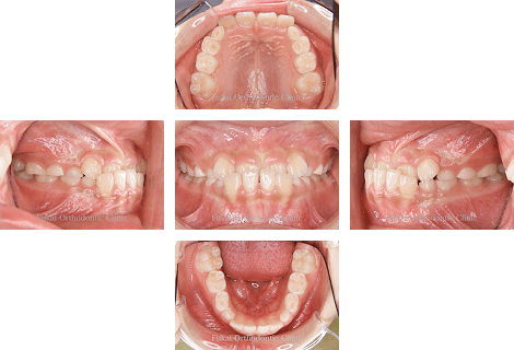
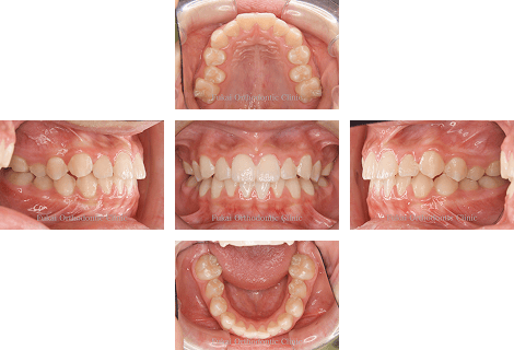
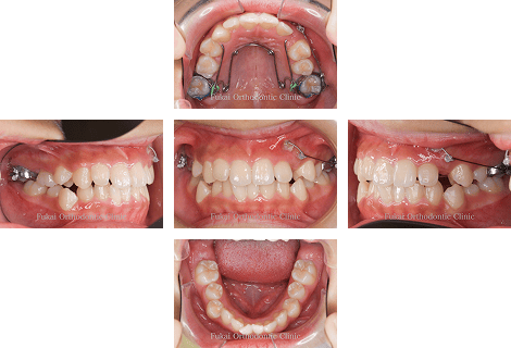
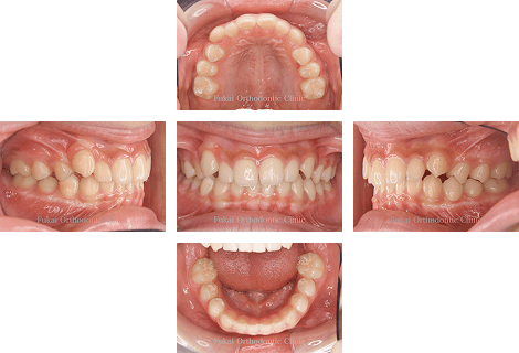
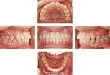
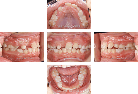
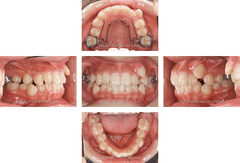
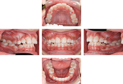
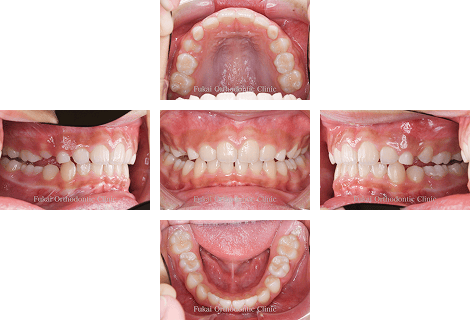
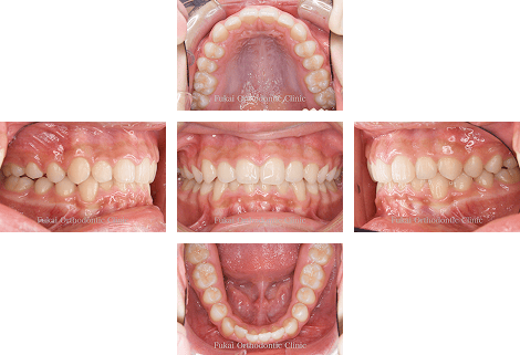
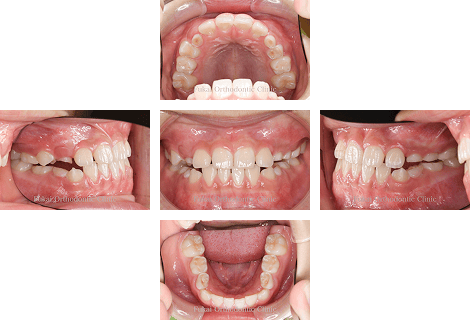
CASE02

治療前

ガタガタ(叢生)− 症例2の写真 ガタガタ(叢生)− 症例2の写真

治療途中

ガタガタ(叢生)− 症例2の写真

治療後

ガタガタ(叢生)− 症例2の写真
①主訴 前歯のスペース不足
②診断名 上下前歯の叢生
③年齢 7歳2か月
④治療に用いた主な装置 プレート装置(拡大プレート)、トレーナー装置(U concept)
⑤治療内容

骨格的な上下顎のバランスに問題はなく、上下前歯のスペース不足が認められる。

上顎に拡大プレートを装着し歯列拡大した後、トレーナー装置にて乳歯の交換を観察した。

乳歯が交換した段階で前歯のスペース不足は改善した。

⑥治療期間と通院回数 4年2か月、22回
⑦治療費概算 39万6千円
費用について
⑧リスクと副作用 装置による発音障害・違和感・痛み・口内炎、途中奥歯で咬みにくい時期あり、歯列の整列には本格的治療が必要。

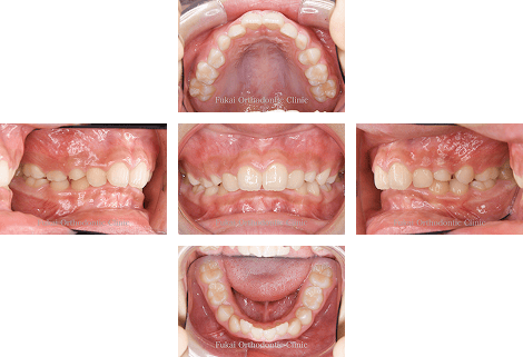
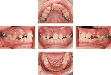
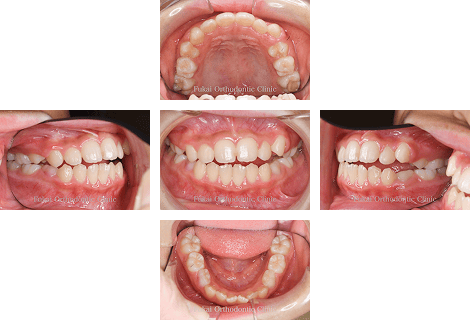
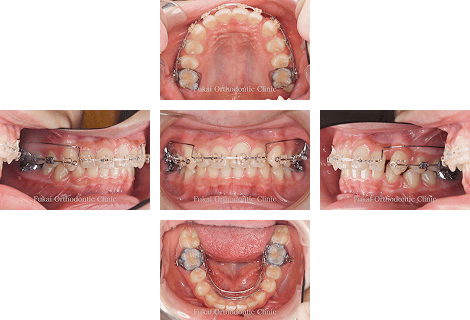
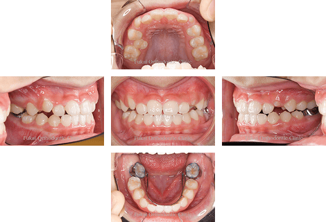
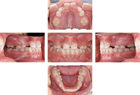
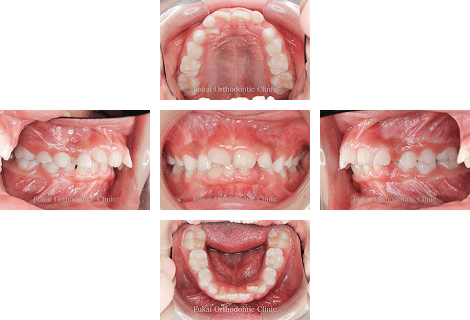
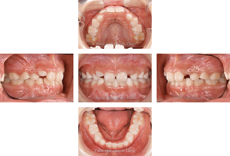
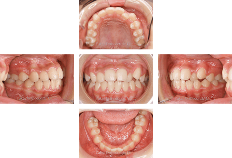
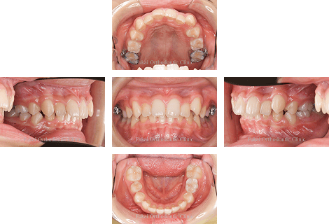
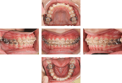
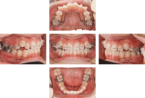
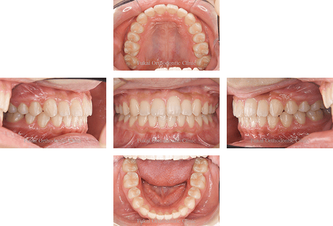
CASE03

治療前

ガタガタ(叢生)− 症例3の写真 ガタガタ(叢生)− 症例3の写真

治療途中

ガタガタ(叢生)− 症例3の写真 ガタガタ(叢生)− 症例3の写真

治療後

ガタガタ(叢生)− 症例3の写真 ガタガタ(叢生)− 症例3の写真
①主訴 前歯のスペース不足、奥歯のスペース不足
②診断名 上下歯列の叢生-上顎第二小臼歯のスペース不足
③年齢 8歳1か月
④治療に用いた主な装置 プレート装置(拡大プレート)、上顎大臼歯遠心移動プレート(ACCO)
⑤治療内容

骨格的な上下顎のバランスに問題はないが、上下前歯のスペース不足と上顎左右第二乳臼歯の早期脱落による第二小臼歯のスペース不足が認められる。

上顎に拡大プレートを装着し歯列拡大した後、上顎第一大臼歯を後方に移動させて第二小臼歯の萌出を促すことができた。

⑥治療期間と通院回数 3年9か月、33回
⑦治療費概算 39万6千円
費用について
⑧リスクと副作用

装置による発音障害・違和感・痛み・口内炎、途中奥歯で咬みにくい時期あり、歯列の整列には本格的治療が必要。

仮に治療せずに放置した場合、上顎第二小臼歯の埋伏により抜歯もしくは開窓・牽引の必要が生じていた恐れがある。

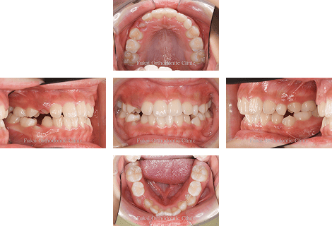
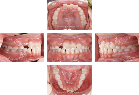
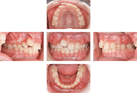
出っ歯-上顎前突(じょうがくぜんとつ)について

上あごが前方に出て出っ歯な状態を示します。小児の場合、下顎が後ろにさがっている(劣成長)ケースが多く、出っ歯により口が閉じにくい症状も多く見られます。

歯列を広げて前歯のスペース不足を改善するとともに前歯の後退をはかり、下顎の前方成長を促します。

ただし骨格的な問題が影響している場合も多く、前歯の突出を改善するために本格的治療の段階で小臼歯を抜歯して治療するケースもあります。

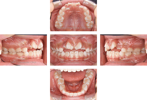
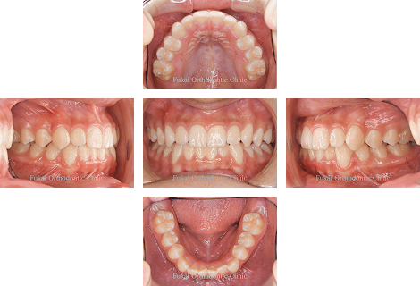
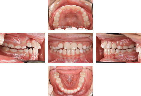
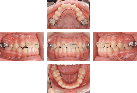
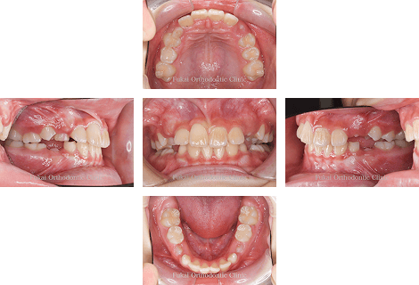
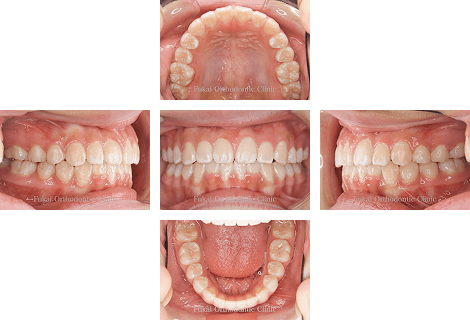
CASE01

治療前

出っ歯(上顎前突)− 症例1の写真 出っ歯(上顎前突)− 症例1の写真

治療途中

出っ歯(上顎前突)− 症例1の写真

治療後

出っ歯(上顎前突)− 症例1の写真 出っ歯(上顎前突)− 症例1の写真
①主訴 前歯が出ている
②診断名 前歯の過蓋咬合を伴う骨格性上顎前突
③年齢 10歳7か月
④治療に用いた主な装置 トレーナー装置(T4K、U-Concept)
⑤治療内容

骨格的には下顎の列成長を示す骨格性の上顎前突、上顎前歯の突出と著しい過蓋咬合が認められる。

トレーナー装置にて下顎の前方成長を促し乳歯の交換を観察した。

乳歯が交換した段階で前歯のスペース不足・過蓋咬合はおおよそ改善した。

⑥治療期間と通院回数 2年4か月、13回
⑦治療費概算 35万2千円
費用について
⑧リスクと副作用 装置による違和感・痛み・口内炎、途中奥歯で咬みにくい時期あり、さらに前歯の過蓋咬合と叢生を改善するためには本格的治療が必要。

CASE02

治療前

出っ歯(上顎前突)− 症例2の写真 出っ歯(上顎前突)− 症例2の写真

治療途中

出っ歯(上顎前突)− 症例2の写真

治療後

出っ歯(上顎前突)− 症例2の写真 出っ歯(上顎前突)− 症例2の写真
①主訴 前歯のガタガタ、スペース不足
②診断名 前歯の叢生を伴う骨格性上顎前突
③年齢 9歳1か月
④治療に用いた主な装置 プレート装置(拡大プレート)、トレーナー装置(T4K、U-Concept)
⑤治療内容

骨格的には下顎の列成長を示す骨格性の上顎前突、上顎前歯のスペース不足と叢生・突出が認められる。

トレーナー装置にて下顎の前方成長を促し乳歯の交換を観察した。

上顎に拡大プレートを装着し歯列拡大した後、トレーナー装置にて乳歯の交換を観察した。

乳歯が交換した段階で前歯のスペース不足はかなり改善した。

⑥治療期間と通院回数 2年5か月、15回
⑦治療費概算 39万6千円
費用について
⑧リスクと副作用 装置による発音障害・違和感・痛み・口内炎、途中奥歯で咬みにくい時期あり、歯列の整列には本格的治療が必要。

CASE03

初期治療

治療前
出っ歯(上顎前突)− 症例3の写真 出っ歯(上顎前突)− 症例3の写真
治療途中
出っ歯(上顎前突)− 症例3の写真 出っ歯(上顎前突)− 症例3の写真

本格的治療

治療前
出っ歯(上顎前突)− 症例3の写真 出っ歯(上顎前突)− 症例3の写真
治療途中
出っ歯(上顎前突)− 症例3の写真 出っ歯(上顎前突)− 症例3の写真
治療後
出っ歯(上顎前突)− 症例3の写真 出っ歯(上顎前突)− 症例3の写真
①主訴 出っ歯
②診断名 前歯の突出を伴う骨格性上顎前突
③年齢 7歳10か月
④治療に用いた主な装置

<初期> プレート装置(拡大プレート)、ヘッドギア

<本治> 下顎歯列の拡大装置(Bi-Helix)、上下歯列のマルチブラケット装置

⑤治療内容

骨格的には上顎の過成長を示す骨格性の上顎前突、上顎前歯の著しい突出と叢生・過蓋咬合が認められる。

プレート装置にて上顎前歯の整列・後退を行なった後、ヘッドギアにて上顎の成長を抑えながら乳歯の交換を観察、永久歯列になった段階で本格的治療に移行し、マルチブラケット装置を用いて前歯を後退し咬合を仕上げた。

⑥治療期間と通院回数

<初期期間> 4年3か月、30回

<本治期間> 3年半、39回

⑦治療費概算

<初期> 39万6千円 + <本治> 55万円

費用について
⑧リスクと副作用

装置による発音障害・違和感・痛み・口内炎、途中奥歯で咬みにくい時期あり、長期に及ぶ治療期間、カリエス、歯肉退縮と前歯の歯根吸収・歯髄壊死を起こす可能性、歯列の安定を図るため治療後のリテーナー装着と上下顎第三大臼歯の抜去は不可欠。

受け口-下顎前突(かがくぜんとつ)について

下あごが前方に出て受け口な状態を示します。

上あごが劣成長で後ろにさがっているケースや下あごが前方に出て過成長を示すケースがあり、放っておくと受け口が悪化し手術が必要となる場合もあります。
出来るだけ早期に受け口を改善すべきでしょう。

遺伝的な要因で骨格的な問題が大きい場合は、手術で下あごを後退させる外科的矯正治療が必要となるケースもあります。

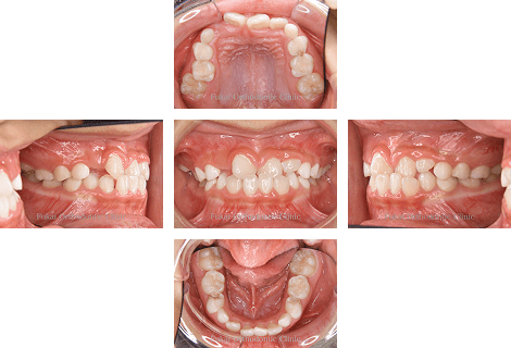
CASE01

治療前

受け口-(下顎前突)− 症例1の写真 受け口-(下顎前突)− 症例1の写真

治療途中

受け口-(下顎前突)− 症例1の写真

治療後

受け口-(下顎前突)− 症例1の写真 受け口-(下顎前突)− 症例1の写真
①主訴 受け口
②診断名 前歯の反対咬合を伴う骨格性下顎前突
③年齢 8歳10か月
④治療に用いた主な装置 プレート装置(拡大プレート)
⑤治療内容

骨格的には下顎の過成長を示す骨格性の下顎前突、上顎前歯の舌側傾斜による前歯の著しい反対咬合が認められる。

上顎に拡大プレートを装着し、前歯の反対咬合を改善しながら乳歯の交換を観察した。

⑥治療期間と通院回数 3年、23回
⑦治療費概算 39万6千円
費用について
⑧リスクと副作用

装置による発音障害・違和感・痛み・口内炎、途中奥歯で咬みにくい時期あり、歯列の整列には本格的治療が必要。

下顎の成長には注意が必要で、下顎が大きく前方成長した場合には外科的矯正治療が必要。

CASE02

治療前

受け口-(下顎前突)− 症例2の写真 受け口-(下顎前突)− 症例2の写真

治療途中

受け口-(下顎前突)− 症例2の写真

治療後

受け口-(下顎前突)− 症例2の写真 受け口-(下顎前突)− 症例2の写真
①主訴 受け口
②診断名 前歯の反対咬合を伴う骨格性下顎前突
③年齢 10歳1か月
④治療に用いた主な装置 プレート装置(拡大プレート)
⑤治療内容

下顎の過成長を示す骨格性の下顎前突、前歯の反対咬合と下顎前歯に隙間も認められる。

上顎に拡大プレートを装着し、前歯の反対咬合を改善しながら乳歯の交換を観察した。

⑥治療期間と通院回数 3年、20回
⑦治療費概算 39万6千円
費用について
⑧リスクと副作用

装置による発音障害・違和感・痛み・口内炎、途中奥歯で咬みにくい時期あり、歯列の整列には本格的治療が必要。

下顎の成長には注意が必要で、下顎が大きく前方成長した場合には外科的矯正治療が必要。

CASE03

初期治療

治療前
受け口-(下顎前突)− 症例3の写真 受け口-(下顎前突)− 症例3の写真
治療途中
受け口-(下顎前突)− 症例3の写真 受け口-(下顎前突)− 症例3の写真

本格的治療

治療前
受け口-(下顎前突)− 症例3の写真 受け口-(下顎前突)− 症例3の写真
治療途中
受け口-(下顎前突)− 症例3の写真 受け口-(下顎前突)− 症例3の写真
治療後
受け口-(下顎前突)− 症例3の写真 受け口-(下顎前突)− 症例3の写真
①主訴 受け口
②診断名 前歯の反対咬合を伴う骨格性下顎前突
③年齢 7歳10か月
④治療に用いた主な装置

<初期> プレート装置(拡大プレート)、下顎奥歯の拡大装置(Bi-Helix)

<本治> 上顎歯列の固定式拡大装置(Quad-Helix)、下顎歯列の拡大装置(Bi-Helix)、上下歯列のマルチブラケット装置

⑤治療内容

下顎の過成長を示す骨格性の下顎前突、前歯の叢生と反対咬合に加えて右側第一大臼歯の鋏状咬合が認められる。

プレート装置にて前歯の反対咬合を改善した後、下顎Bi-Helixにて右奥歯の鋏状咬合を改善して乳歯の交換を観察、永久歯列になった段階で本格的治療に移行し、マルチブラケット装置を用いて上下歯列を整列し咬合を仕上げた。

⑥治療期間と通院回数

<初期期間> 2年9か月、26回

<本治期間> 2年7か月、32回

⑦治療費概算

<初期> 39万6千円 + <本治> 55万円

費用について
⑧リスクと副作用

装置による発音障害・違和感・痛み・口内炎、途中奥歯で咬みにくい時期あり、長期に及ぶ治療期間、カリエス、歯肉退縮と前歯の歯根吸収・歯髄壊死を起こす可能性、歯列の安定を図るため治療後のリテーナー装着と将来上下顎第三大臼歯の抜去は不可欠。

開咬(かいこう)について

前歯がかみ合わない状態を示します。

舌の癖(舌癖 ぜつへき)に起因している場合が多く、治療を通じて舌癖の改善が必要で、できれば早期に舌癖の改善をはかるべきでしょう。

開咬を放置していると骨格的な問題につながり、将来手術による外科的矯正治療が必要となるケースもあります。

CASE01

治療前

開咬− 症例1の写真 開咬− 症例1の写真

治療途中

開咬− 症例1の写真

治療後

開咬− 症例1の写真 開咬− 症例1の写真
①主訴 受け口
②診断名 前歯の開咬を伴う骨格性上下顎前突
③年齢 7歳6か月
④治療に用いた主な装置 プレート装置(拡大プレート)、トレーナー装置(U-Concept)
⑤治療内容

上下顎ともに前方への過成長を示す骨格性の上下顎前突、上顎前歯の唇側傾斜による前歯の突出と開咬、さらに左上前歯のスペース不足が認められる。

上顎に拡大プレートを装着し、前歯スペース不足の改善をはかりながら乳歯の交換を観察、終始MFTにて舌癖の改善をはかった。

⑥治療期間と通院回数 4年2か月、24回
⑦治療費概算 39万6千円
費用について
⑧リスクと副作用

装置による発音障害・違和感・痛み・口内炎、途中奥歯で咬みにくい時期あり、歯列の整列には本格的治療が必要。

下顎の成長には注意が必要で、下顎が大きく前方成長した場合には外科的矯正治療が必要。

CASE02

初期治療

治療前
開咬− 症例3の写真 開咬− 症例3の写真
治療途中
開咬− 症例3の写真

本格的治療

治療前
開咬− 症例3の写真 開咬− 症例3の写真
治療途中
開咬− 症例3の写真 開咬− 症例3の写真
治療後
開咬− 症例3の写真 開咬− 症例3の写真
①主訴 前歯のガタガタ、スペース不足
②診断名 前歯の叢生を伴う開咬
③年齢 9歳11か月
④治療に用いた主な装置

<初期> プレート装置(拡大プレート)

<本治> 上顎歯列の固定式拡大装置(Quad-Helix)、上下歯列のマルチブラケット装置

⑤治療内容

上下顎のバランスに問題はないがやや骨格性の上下顎前突、上顎前歯の叢生と開咬が認められる。

プレート装置にて前歯のスペース不足を改善した後、乳歯の交換を観察、永久歯列になった段階で本格的治療に移行しマルチブラケット装置を用いて上下歯列を整列して咬合を仕上げた。

⑥治療期間と通院回数

<初期期間> 4年2か月、22回

<本治期間> 2年3か月、25回

⑦治療費概算

<初期> 35万2千円 + <本治> 44万円

費用について
⑧リスクと副作用

装置による発音障害・違和感・痛み・口内炎、途中奥歯で咬みにくい時期あり、長期に及ぶ治療期間、カリエス、歯肉腫脹と前歯の歯根吸収・歯髄壊死を起こす可能性、歯列の安定を図るため治療後のリテーナー装着と将来上下顎第三大臼歯の抜去は不可欠。

埋伏歯(まいふくし)について

永久歯が骨の中で埋まって出てこない状態を示します。

永久歯が骨の中で異常な方向を向いているために出てこない場合が多く、外科的に引っ張り出す必要があります。

埋伏している歯に外科的に装置をつけて、徐々に引っ張り出す処置を行います(開窓・牽引処置)。

放っておくと他の歯の根を溶かしたり、抜歯せざるをえなくなり、将来入れ歯や差し歯・インプラントが必要となります。

中学生以降になると開窓・牽引が難しくなる場合もあり、適切な時期に処置すべきと考えます。

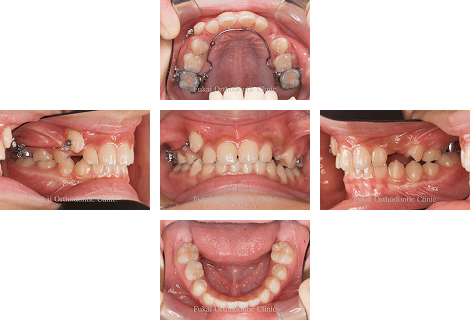
CASE01

治療前

埋伏歯− 症例1の写真 埋伏歯− 症例1の写真

治療途中

埋伏歯− 症例1の写真 埋伏歯− 症例1の写真

治療後

埋伏歯− 症例1の写真 埋伏歯− 症例1の写真
①主訴 犬歯の水平埋伏
②診断名 上顎右側犬歯の水平埋伏
③年齢 9歳9か月
④治療に用いた主な装置 上顎にリンガルアーチ
⑤治療内容

骨格的な上下顎のバランスに問題はなく、上顎右側犬歯の水平埋伏が認められる。

このまま放置すると右上側切歯・中切歯の歯根が吸収する恐れもあり、犬歯の開窓・牽引が必要。

上顎にリンガルアーチを装着した上で口腔外科に右上犬歯の開窓処置を依頼。その後セクショナルアーチにて牽引し犬歯の萌出を誘導した。

⑥治療期間と通院回数 2年3か月、26回
⑦治療費概算 46万2千円
費用について
⑧リスクと副作用 装置による違和感・痛み・口内炎・カリエス・歯肉腫脹、口腔外科での開窓処置が別途必要、開窓・牽引しても埋伏歯が出てこない可能性、埋伏歯が出てこない場合は口腔外科にて抜歯が必要、歯列の整列には本格的治療としてマルチブラケット装置が必要。

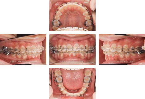
CASE02

治療前

埋伏歯− 症例2の写真 埋伏歯− 症例2の写真

治療途中

埋伏歯− 症例2の写真 埋伏歯− 症例2の写真

治療後

埋伏歯− 症例2の写真 埋伏歯− 症例2の写真
①主訴 右上前歯が出てこない
②診断名 上顎右側前歯の埋伏を伴う骨格性上下顎前突
③年齢 9歳6か月
④治療に用いた主な装置 上顎にリンガルアーチ、部分的にマルチブラケット装置
⑤治療内容

骨格的には上下顎ともに過成長を示す骨格性の上下顎前突、上顎右側中切歯部の過剰歯により中切歯が埋伏。

上顎にリンガルアーチを装着した上で口腔外科に右上前歯部の過剰歯の抜去と中切歯の開窓処置を依頼。その後リンガルアーチにて埋伏中切歯を牽引。

萌出した後は前歯部のみにマルチブラケット装置を装着し整列した。

⑥治療期間と通院回数 2年3か月、24回
⑦治療費概算 46万2千円
費用について
⑧リスクと副作用

装置による違和感・痛み・口内炎・カリエス・歯肉腫脹、口腔外科での過剰歯摘出・埋伏歯の開窓処置が必要、開窓・牽引しても埋伏歯が出てこない可能性、埋伏歯が出てこない場合は口腔外科にて抜歯が必要。

歯列の整列には本格的治療としてマルチブラケット装置が必要で、右側上下顎側切歯の先天性欠如により左側上下小臼歯の抜歯が必要。

CASE03

治療前

埋伏歯− 症例3の写真 埋伏歯− 症例3の写真

治療途中

埋伏歯− 症例3の写真 埋伏歯− 症例3の写真

治療後

埋伏歯− 症例3の写真 埋伏歯− 症例3の写真
①主訴 歯が生えてこない
②診断名 上顎左側犬歯の水平埋伏
③年齢 11歳4か月
④治療に用いた主な装置 上顎にQuad-Helix
⑤治療内容

骨格的な上下顎のバランスに問題はなく、上顎左側犬歯の水平埋伏が認められる。

このまま放置すると左上側切歯の歯根が吸収する恐れもあり、犬歯の開窓・牽引が必要。

上顎にQuad-Helixを装着した上で口腔外科に左上犬歯の開窓処置を依頼し、その後セクショナルアーチにて牽引し犬歯の萌出を誘導した。

⑥治療期間と通院回数 1年11か月、21回
⑦治療費概算 46万2千円
費用について
⑧リスクと副作用

装置による違和感・痛み・口内炎・カリエス・歯肉腫脹、口腔外科での開窓処置が別途必要、開窓・牽引しても埋伏歯が出てこない可能性、埋伏歯が出てこない場合は口腔外科にて抜歯が必要、歯列の整列には本格的治療としてマルチブラケット装置が必要、その際小臼歯の抜歯が必要となる可能性あり。

ABOUT OUR CLINIC

当院のご案内

深井矯正歯科クリニック

〒573-1106 大阪府枚方市町楠葉1-4-8 シャルム橋内ビル3F

アクセス

京阪本線「樟葉駅」徒歩5分

診療時間 日祝
13:10-19:30
10:00-17:00

月曜日:月2回のみ、13:30-19:30 診療

※臨時休診がございます。詳しくは診療カレンダーをご覧ください。